Can You Work With Csf Leak . This is a serious condition that can cause headaches, seizures, or. A cerebrospinal fluid leak (csf) is when you're leaking the fluid that surrounds your brain and spinal cord. a csf leak occurs when cerebrospinal fluid (csf) escapes from the protective layer surrounding the brain and spinal cord. many people experiencing intracranial hypotension due to a spinal cerebrospinal fluid (csf) leak find physical activity challenging due to their. yes, csf leaks can be dangerous if left untreated and the leak is especially fast or large; cerebrospinal fluid fistula, also called csf leak, is an uncommon but severe condition with potentially fatal. However, the body replenishes csf. cerebrospinal fluid (csf) leak. Describe some of the most common etiologies for.
from www.neurologic.theclinics.com
a csf leak occurs when cerebrospinal fluid (csf) escapes from the protective layer surrounding the brain and spinal cord. many people experiencing intracranial hypotension due to a spinal cerebrospinal fluid (csf) leak find physical activity challenging due to their. Describe some of the most common etiologies for. However, the body replenishes csf. yes, csf leaks can be dangerous if left untreated and the leak is especially fast or large; This is a serious condition that can cause headaches, seizures, or. A cerebrospinal fluid leak (csf) is when you're leaking the fluid that surrounds your brain and spinal cord. cerebrospinal fluid (csf) leak. cerebrospinal fluid fistula, also called csf leak, is an uncommon but severe condition with potentially fatal.
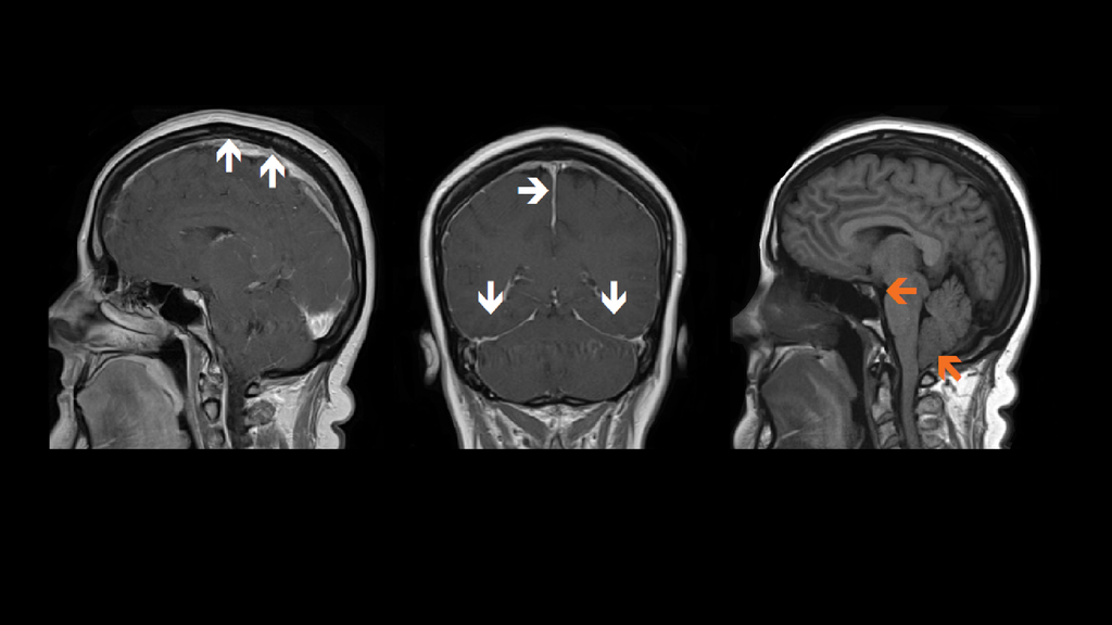
Spontaneous CSF Leaks Neurologic Clinics
Can You Work With Csf Leak yes, csf leaks can be dangerous if left untreated and the leak is especially fast or large; cerebrospinal fluid (csf) leak. Describe some of the most common etiologies for. This is a serious condition that can cause headaches, seizures, or. A cerebrospinal fluid leak (csf) is when you're leaking the fluid that surrounds your brain and spinal cord. cerebrospinal fluid fistula, also called csf leak, is an uncommon but severe condition with potentially fatal. yes, csf leaks can be dangerous if left untreated and the leak is especially fast or large; However, the body replenishes csf. a csf leak occurs when cerebrospinal fluid (csf) escapes from the protective layer surrounding the brain and spinal cord. many people experiencing intracranial hypotension due to a spinal cerebrospinal fluid (csf) leak find physical activity challenging due to their.
From www.adventis.in
CSF Leaks Cerebrospinal Fluid Leak Surgery & Treatment in Delhi Can You Work With Csf Leak Describe some of the most common etiologies for. A cerebrospinal fluid leak (csf) is when you're leaking the fluid that surrounds your brain and spinal cord. This is a serious condition that can cause headaches, seizures, or. However, the body replenishes csf. cerebrospinal fluid (csf) leak. a csf leak occurs when cerebrospinal fluid (csf) escapes from the protective. Can You Work With Csf Leak.
From healthjade.net
CSF leak causes, signs, symptoms, diagnosis, test & CSF leak treatment Can You Work With Csf Leak cerebrospinal fluid (csf) leak. Describe some of the most common etiologies for. yes, csf leaks can be dangerous if left untreated and the leak is especially fast or large; a csf leak occurs when cerebrospinal fluid (csf) escapes from the protective layer surrounding the brain and spinal cord. many people experiencing intracranial hypotension due to a. Can You Work With Csf Leak.
From alabamasinus.com
CSF Leak Surgery Alabama Nasal and Sinus Center, Birmingham, AL, ENT Can You Work With Csf Leak However, the body replenishes csf. cerebrospinal fluid (csf) leak. This is a serious condition that can cause headaches, seizures, or. A cerebrospinal fluid leak (csf) is when you're leaking the fluid that surrounds your brain and spinal cord. Describe some of the most common etiologies for. cerebrospinal fluid fistula, also called csf leak, is an uncommon but severe. Can You Work With Csf Leak.
From internaljapan9.bitbucket.io
How To Check For A Csf Leak Internaljapan9 Can You Work With Csf Leak many people experiencing intracranial hypotension due to a spinal cerebrospinal fluid (csf) leak find physical activity challenging due to their. This is a serious condition that can cause headaches, seizures, or. a csf leak occurs when cerebrospinal fluid (csf) escapes from the protective layer surrounding the brain and spinal cord. Describe some of the most common etiologies for.. Can You Work With Csf Leak.
From healthjade.net
CSF leak causes, signs, symptoms, diagnosis, test & CSF leak treatment Can You Work With Csf Leak cerebrospinal fluid fistula, also called csf leak, is an uncommon but severe condition with potentially fatal. However, the body replenishes csf. yes, csf leaks can be dangerous if left untreated and the leak is especially fast or large; This is a serious condition that can cause headaches, seizures, or. many people experiencing intracranial hypotension due to a. Can You Work With Csf Leak.
From www.neurologic.theclinics.com
Spontaneous CSF Leaks Neurologic Clinics Can You Work With Csf Leak yes, csf leaks can be dangerous if left untreated and the leak is especially fast or large; many people experiencing intracranial hypotension due to a spinal cerebrospinal fluid (csf) leak find physical activity challenging due to their. a csf leak occurs when cerebrospinal fluid (csf) escapes from the protective layer surrounding the brain and spinal cord. This. Can You Work With Csf Leak.
From www.theuglycword.com
Cranial Cerebrospinal Fluid (CSF) Leak Post Craniotomy Can You Work With Csf Leak cerebrospinal fluid (csf) leak. This is a serious condition that can cause headaches, seizures, or. A cerebrospinal fluid leak (csf) is when you're leaking the fluid that surrounds your brain and spinal cord. cerebrospinal fluid fistula, also called csf leak, is an uncommon but severe condition with potentially fatal. a csf leak occurs when cerebrospinal fluid (csf). Can You Work With Csf Leak.
From spinalcsfleak.org
LeakWeek 2023 Day Two Symptoms Spinal CSF Leak Foundation Can You Work With Csf Leak a csf leak occurs when cerebrospinal fluid (csf) escapes from the protective layer surrounding the brain and spinal cord. many people experiencing intracranial hypotension due to a spinal cerebrospinal fluid (csf) leak find physical activity challenging due to their. Describe some of the most common etiologies for. cerebrospinal fluid (csf) leak. yes, csf leaks can be. Can You Work With Csf Leak.
From spinalcsfleak.org
LeakWeek 2023 Day Two Symptoms Spinal CSF Leak Foundation Can You Work With Csf Leak This is a serious condition that can cause headaches, seizures, or. Describe some of the most common etiologies for. A cerebrospinal fluid leak (csf) is when you're leaking the fluid that surrounds your brain and spinal cord. cerebrospinal fluid (csf) leak. However, the body replenishes csf. many people experiencing intracranial hypotension due to a spinal cerebrospinal fluid (csf). Can You Work With Csf Leak.
From neurosurgery.weillcornell.org
CSF Leak Program Neurological Surgery Can You Work With Csf Leak This is a serious condition that can cause headaches, seizures, or. a csf leak occurs when cerebrospinal fluid (csf) escapes from the protective layer surrounding the brain and spinal cord. cerebrospinal fluid fistula, also called csf leak, is an uncommon but severe condition with potentially fatal. A cerebrospinal fluid leak (csf) is when you're leaking the fluid that. Can You Work With Csf Leak.
From www.bjorl.org
Endoscopic management of frontal sinus CSF leaks Brazilian Journal of Can You Work With Csf Leak This is a serious condition that can cause headaches, seizures, or. cerebrospinal fluid (csf) leak. cerebrospinal fluid fistula, also called csf leak, is an uncommon but severe condition with potentially fatal. yes, csf leaks can be dangerous if left untreated and the leak is especially fast or large; many people experiencing intracranial hypotension due to a. Can You Work With Csf Leak.
From www.youtube.com
What is Spinal CSF Leak? Spotlight on Migraine S4Ep11 YouTube Can You Work With Csf Leak A cerebrospinal fluid leak (csf) is when you're leaking the fluid that surrounds your brain and spinal cord. cerebrospinal fluid (csf) leak. a csf leak occurs when cerebrospinal fluid (csf) escapes from the protective layer surrounding the brain and spinal cord. This is a serious condition that can cause headaches, seizures, or. yes, csf leaks can be. Can You Work With Csf Leak.
From www.ajnr.org
Emergent ImageGuided Treatment of a Large CSF Leak to Reverse “In Can You Work With Csf Leak A cerebrospinal fluid leak (csf) is when you're leaking the fluid that surrounds your brain and spinal cord. many people experiencing intracranial hypotension due to a spinal cerebrospinal fluid (csf) leak find physical activity challenging due to their. cerebrospinal fluid (csf) leak. a csf leak occurs when cerebrospinal fluid (csf) escapes from the protective layer surrounding the. Can You Work With Csf Leak.
From www.pinterest.com
Dura Mater, Nerve Palsy, Lumbar Puncture, Pseudotumor Cerebri Can You Work With Csf Leak cerebrospinal fluid fistula, also called csf leak, is an uncommon but severe condition with potentially fatal. Describe some of the most common etiologies for. yes, csf leaks can be dangerous if left untreated and the leak is especially fast or large; a csf leak occurs when cerebrospinal fluid (csf) escapes from the protective layer surrounding the brain. Can You Work With Csf Leak.
From spinalcsfleak.org
Diagnosis of Spinal CSF leak Diagnosis Spinal CSF Leak Foundation Can You Work With Csf Leak However, the body replenishes csf. Describe some of the most common etiologies for. cerebrospinal fluid fistula, also called csf leak, is an uncommon but severe condition with potentially fatal. yes, csf leaks can be dangerous if left untreated and the leak is especially fast or large; a csf leak occurs when cerebrospinal fluid (csf) escapes from the. Can You Work With Csf Leak.
From www.siemens-healthineers.com
Nuclear cisternography in the detection of CSF leak Siemens Healthineers Can You Work With Csf Leak Describe some of the most common etiologies for. cerebrospinal fluid fistula, also called csf leak, is an uncommon but severe condition with potentially fatal. A cerebrospinal fluid leak (csf) is when you're leaking the fluid that surrounds your brain and spinal cord. However, the body replenishes csf. many people experiencing intracranial hypotension due to a spinal cerebrospinal fluid. Can You Work With Csf Leak.
From healthjade.net
CSF leak causes, signs, symptoms, diagnosis, test & CSF leak treatment Can You Work With Csf Leak A cerebrospinal fluid leak (csf) is when you're leaking the fluid that surrounds your brain and spinal cord. yes, csf leaks can be dangerous if left untreated and the leak is especially fast or large; a csf leak occurs when cerebrospinal fluid (csf) escapes from the protective layer surrounding the brain and spinal cord. cerebrospinal fluid fistula,. Can You Work With Csf Leak.
From www.cedars-sinai.org
CSF Leak Los Angeles, California CedarsSinai Can You Work With Csf Leak many people experiencing intracranial hypotension due to a spinal cerebrospinal fluid (csf) leak find physical activity challenging due to their. However, the body replenishes csf. Describe some of the most common etiologies for. This is a serious condition that can cause headaches, seizures, or. cerebrospinal fluid (csf) leak. a csf leak occurs when cerebrospinal fluid (csf) escapes. Can You Work With Csf Leak.